Введение
В настоящее время девушки и женщины активно стали использовать гель-лак для ногтей. За последние годы резко возросла его популярность, так как он сочетает в себе качества обычного декоративного лака и моделирующего геля. Это обеспечивает долгую стойкость декоративного покрытия ногтей, что сделало гель-лак настолько востребованным. Однако вместе с ростом популярности у взрослых, возросла частота использования гель-лака и у подростков. Ногтевая пластина подростка формируется до 16–18 лет и до этого времени является более тонкой и чувствительной. Использование гель-лака предполагает целый комплекс механических и химических воздействий на ногтевую пластину: обезжиривание ногтевой пластины, нанесение нескольких слоев покрытия, сушка в лампе и последующее механическое снятие лака с ногтей. Каждое из них потенциально может повлиять на здоровье ногтей.
Таким образом, можно сделать вывод, что важными негативными факторами при использовании гель-лаков являются механическое и химическое воздействия на ногтевую пластину.
Актуальность исследования заключается в том, что несмотря на широкое применение гель-лаков и активное пользование среди взрослых и подростков, в доступной научной информации отсутствуют доказательные исследования, посвященные анализу возможных побочных эффектов от их использования, особенно в юном возрасте. Недостаток информации приводит к тому, что многие взрослые и их дети не осознают риски возможных побочных эффектов.
Проблема заключается в отсутствии информированности подростков о негативном влиянии на ногтевую пластину маникюра с использованием гель-лака, связанном с применением некачественных материалов, а также с повреждением ногтевой пластины за счет механического и химического воздействия.
Гипотеза: вероятно, использование гель-лаков имеет побочные эффекты и неблагоприятно сказывается на формировании ногтевой пластины подростков.
Цель нашего исследования —оценка частоты встречаемости различных побочных эффектов от использования гель лака и предложение вариантов исправления негативного воздействия.
Объектом исследования мы выбрали маникюр с покрытием гель-лак.
Предметом исследования сталаногтевая пластина подростка.
Глава 1. Теоретическая часть
1.1 Анатомия ногтя
|
|
|
Ноготь — роговое образование кожи, состоящее из кератина. Выполняет защитную и вспомогательную функции.
Части ногтя и их функции:
— Ногтевая пластина (твердая видимая часть ногтя) — Защищает палец, помогает захватывать мелкие предметы.
— Ногтевое ложе (кожа под ногтевой пластиной) — Питает ноготь, обеспечивает его прочное прикрепление.
— Матрикс (зона роста ногтя под кожей, корень ногтя) — Образует клетки ногтя, обеспечивая его рост.
— Лунула (светлая часть у основания ногтя, видимая часть матрикса) — Участвует в росте ногтя.
— Кутикула (тонкий кожный валик у основания) — Защищает матрикс от микробов.
— Ногтевые валики (кожа по бокам и у основания ногтя) — Фиксируют и защищают ногтевую пластину.
— Гипонихий (кожа под свободным краем ногтя) — Защищает палец от проникновения бактерий.
1.2 Химия гель-лаков
Название «гель-лак» отображает идею совмещения свойств двух декоративных средств для дизайна ногтей: маникюрного лака и моделирующего геля. В быту гель-лак часто называют шеллаком, шелаком или даже шилаком по созвучию с первым появившимся в России гибридным покрытием для ногтей Shellac CND. Изредка можно даже услышать такие наименования, как лак-гель или даже лак ши .
Основными компонентами гель-лаков выступают:
Пленкообразователь — вещество со встроенными связями −C=C− типа, которое под воздействием УФ-излучения образует на рабочей поверхности плотную твердую плёнку. Наличие у пленкообразователя −C=C− связей определяет основные свойства покрытия, такие, как устойчивость к истиранию, химическим воздействиям, эластичность, твердость, прочность при изгибе и растяжении.
Фотоинициатор — соединение, обладающие способностью поглощать УФ-излучение с последующим переходом в возбуждённое состояние и внутримолекулярным распадом, в результате которого высвобождаются реакционноспособные частицы — свободные радикалы. Необходимая для реакции длина волны и, соответственно, максимальная абсорбция УФ-излучения зависит от химического состава фотоинициатора. В гель-лаках применяют фотоинициаторы, инициирующие радикальную полимеризацию внутримолекулярным расщеплением связей. Как правило, это бензоиновые эфиры, бензилкетали, α-аминоалкилфеноны, гидроксиалкилфеноны и группа фосфиноксидов. Распад бензоина и его производных приводит к образованию свободных радикалов, реагирующих с двойными –С=С– связями.
Активные разбавит ели — мономеры, эфиры акриловой кислоты, чаще всего — метакрилаты. Используется для поддержания нужной консистенции гель-лаков, обеспечивает необходимую для нанесения на рабочую поверхность вязкость. Прочно сцепляются с поверхностью ногтя, что обеспечивает хорошую стойкость декоративного покрытия. В процессе отверждения встраивается в полимерную структуру. Чаще всего с этой целью используют акрилаты: трипропиленгликольдиакрилат (ТПГДА), гександиолдиакрилат (ГДДА), дипропиленгликольдиакрилат (ДПГДА) или триметилолпропантриакрилат (ТМПТА).
Пигмент — органическое или неорганическое вещество, которое применяют для окрашивания гель-лака. В отличие от красителей, пигменты не растворяются в гель-лаке и не препятствуют поглощению УФ-излучения. Однако, отдельные пигменты могут замедлять фотополимеризацию покрытия. Добавки и наполнители — используются для придания покрытию дополнительных свойств и характеристик, таких как вязкость, пластичность или блеск. Могут существенно отличаться в гель-лаках различных производителей.
В жидком состоянии гель-лаки — вязкие пигментированные составы средне жидкой консистенции. Благодаря высокому содержанию олигомеров не испаряются и не высыхают даже при длительном пребывании на открытом воздухе. Гель-лаки разных цветов можно смешивать между собой по принципу акриловых или масляных красок, получая из первичных цветов вторичные и третичные оттенки.
Полимеризация . Гель-лаки чувствительны к УФ-излучению. Под воздействием уф-волн определённой длины гель-лаки полимеризуются, происходит переход из жидкого агрегатного состояния в твердое, и на поверхности ногтя образуется плотная плёнка. Для равномерной быстрой полимеризации гель-лаков используют люминесцентные, светодиодные или CCFL-лампы УФ-спектра.
В зависимости от типа входящих в состав покрытия фотоинициаторов, гель-лаки переходят в твердое агрегатное состояние под воздействием УФ-волн определённой длины. При недостаточной интенсивности излучения гель-лаки могут загустеть или свернуться. Для образования прочной ровной поверхности рекомендуется закреплять покрытие под лампами определённого типа.
Солнечный свет также содержит УФ-волны, которые способны запускать процесс полимеризации. Поэтому гель-лаки выпускают в непрозрачных флаконах и рекомендуют хранить и использовать без доступа солнечного света. Полимеризация покрытия под солнечными лучами происходит долго и неравномерно, гель-лаки плохо застывают и могут сворачиваться.
Для равномерного отверждения гель-лаков используют лампы, излучающие УФ-волны B (λ = 280–315 нм), V (λ = 315–380 нм), A (λ = 380–450 нм) типов. Короткое волновое излучение С типа (λ = 100–280 нм) абсорбируется в верхних слоях покрытия и не способно инициировать полимеризацию в пигментированных гель-лаках.
Время полимеризации зависит от химического состава, цвета, толщины слоя, типа лампы, длины излучаемых УФ-волн и расстояния от лампы до покрытия. Гель-лаки с насыщенной пигментацией (например, чёрного и красного цвета) требуют больше времени для преобразования полимерной структуры, чем слабо пигментированные, составы (например, белые или жёлтые). Время полимеризации обратно пропорционально интенсивности излучения.
В твердом состоянии в результате полимеризации под воздействием УФ-волн жидкий гель-лак преобразуется в плотную плёнку, на поверхности которой проступает липкое вещество — дисперсионный слой. Его используют для усиленной адгезии между отдельными слоями покрытия, а с поверхности последнего финишного слоя убирают с помощью обезжиривающего состава.
При соблюдении технологии маникюра и полной полимеризации покрытия, гель-лак образует плотную, устойчивую к химическим и механическим воздействиям поверхность. Производители гель-лаков утверждают, что покрытие способно продержаться на ногтях в течение 10–20 дней даже в условиях длительных контактов с водой, бытовой химией и безацетоновыми растворителями.
Пленкообразование гель-лака — обратимый процесс, допускающий последующее полное или частичное разрушение связей полимерной цепи. В частности, разрушить структуру затвердевшего гель-лака и отделить его от поверхности ногтя можно с помощью длительного воздействия ацетоносодержащих растворителей.
С точки зрения химии объяснение процесса сводиться к обычной фотоинициированной полимеризации полиуретана.
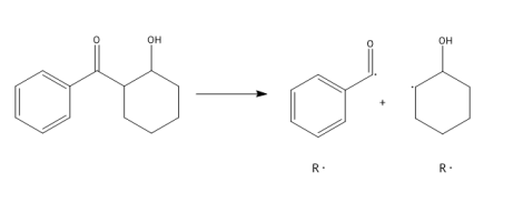
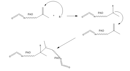
В состав гель-лака входит уже олигомеризированное соединение уретана с акрилом, так называемый уретан-акриловый олигомер, инициатор полимеризации, ингибитор полимеризации и растворители. Инициатор полимеризации, под действием УФ света распадается на свободные радикалы R∙
Далее радикал реагирует с активными группами олигомера, либо по двойной C=C связи в блоке с акрилом, либо разрывая цикл. Например, такой олигомер из IPDI и HEMA:
Красными кружками я выделила -NCO группу и двойную связь акриловой кислоты, все что посередине обозначим PAO. Для роста цепи возможно несколько направлений, участвовать будут все функциональные связи, например:
Таким образом, в течение определенного времени прореагируют все мономеры, пока все свободные радикалы не рекомбинируют. В результате получится трехмерносшитый полимер:
Маникюр со стойким покрытием — одна из самых популярных процедур в салонах несмотря на то, что побочные эффекты использования гель-лаков не изучены.
Методы профилактики деформации ногтевой пластины, вызванной аппаратным маникюром:
- Медикаментозное лечение. Проведение медикаментозного лечения возможно только при отсутствии гелевого покрытия на ногтях.
- Техника выполнения процедуры. При отсутствии возможности снятия покрытия необходимо контролировать и регулировать технику выполнения процедуры.
Методы медикаментозного лечения:
— Наружная терапия;
— Медикаментозная терапия;
— Физиотерапия.
Техника выполнения процедуры:
— Правильный выбор фрез;
— Защита зоны матрикса;
— Использование только стерильных, недеформированных инструментов и качественных материалов;
— Периодические перерывы в носке покрытия.
Глава 2. Практическая часть
2.1 Визуальный анализ состояния ногтей
Визуальный анализ состояния ногтей включает оценку цвета, формы и текстуры ногтевых пластин, а также выявление изменений, которые могут указывать на патологии. В норме ногти выглядят выпуклыми и вытянутыми в продольном направлении — без вогнутостей, вмятин, бороздок и бугорков.
2.2 Анализ роста здорового ногтя без покрытия
Рост здорового ногтя без покрытия — это процесс постоянного образования нового вещества ногтевой пластины. Скорость роста в среднем составляет 0,1 мм в сутки, или примерно 3–4 мм в месяц для здорового ногтя. Однако эта скорость не является постоянной и может меняться под воздействием разных факторов. Рост пластины заключается в её постоянном обновлении у проксимального края и продвижении уже образованных роговых слоёв к дистальному концу. В росте и формировании пластины участвуют не только ростковые зоны, но и проксимальный и латеральный валики ногтя, само ногтевое ложе и фаланга пальца. Эти структуры направляют движение растущей ногтевой пластины, благодаря чему она сохраняет форму и направление своих слоёв.
Некоторые факторы , которые могут влиять на скорость роста здорового ногтя:
— Время года — летом ногти растут быстрее, чем зимой, так как солнечные лучи стимулируют выработку витамина D, который ускоряет этот процесс.
— Активность — на доминирующей руке (например, у правшей на правой) ногти растут быстрее, поскольку более активное кровообращение обеспечивает лучшее питание для клеток.
— Наследственность, возраст и питание — генетика, возраст и сбалансированное питание играют ключевую роль. Недостаток белков, жиров и витаминов в рационе может значительно замедлить рост ногтей.
— Стресс — эмоциональный и физический стресс также могут негативно сказаться на скорости роста ногтей.
Также на скорость роста могут влиять гормональные изменения (подростковый возраст, период перед менструацией, беременность) и деятельность, приводящая к стачиванию ногтей (печатание на машинке, привычка постоянно грызть ногти, массаж рук и др.).
2.3 Анализ деформированного маникюром ногтя и сравнение с недеформированным с помощью проф. оборудования
Анализ состояния ногтевой пластины подростка до и после маникюра проводился по стандартной методике — окраска гематоксилином-эозином с последующей оценкой в поляризационном свете. Анализ проводился на базе Московского клинического научного центра имени А. С. Логинова.
Для проведения исследования был взят образец. Стандартная гистологическая проводка, толщина срезов 3–4 мкм, окраска гематоксилин-эозином по стандартной методике.
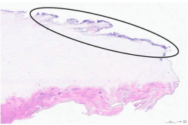
«Ноготь без покрытия». Верхние отделы эпидермиса с наличием клеток в состоянии апоптоза с гиперхромией ядер и их деформированием (естественный процесс «созревания»).
Верхние слои ногтевой пластины представлены равномерными плотно упакованными роговыми чешуйками.
Участки травматизации верхнего слоя с наличием естественной кокковой микрофлоры (естественная флора выделена на изображении).
Характер свечения в поляризационном свете.
«Ноготь с покрытием»
Ноготь представлен 1–2 слоями клеток с верхних отделов, остальной пласт представлен плотно упакованными роговыми чешуйками. Выше идет более светлый «бесклеточный/бесструктурный» лак в несколько слоев (основа, цвет).
Дефекты на поверхности ногтевой пластины, покрытой лаком, не имеют естественной микрофлоры (отсутствуют фиолетовые точки на поверхности).
В структуре ногтевой пластины определяются вкрапления материала покрытия (выделены на изображении).
Граница между «основой лака» и «цветом».
Плавная/размытая граница между последним слоем лака и «цветом».
Также присутствует глубокая трещина, появившаяся во время пробоподготовки.
Структура цветного лака под увеличением
Характер свечения в поляризационном свете (гранулы/частицы в лаке которые придают цвет практически не имеют кристаллоидной структуры)
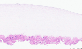
«Ноготь со снятым покрытием»
Ногтевая пластина аналогична пластине, покрытой лаком. Лак остался, но более тонкий и неравномерный. Имеется разволокнение роговых чешуек (выделены на изображении).
Поверхность ногтя шероховатая за счет механического воздействия.
Характер свечения в поляризационном свете.
Выводы: в целом структура ногтевой пластины на микроскопическом уровне не нарушена.
В ногте, на который лак не наносился, разволокнение характерно только для верхних отделов вследствие механической обработки, а образовавшиеся дефекты заполняются кокковой микрофлорой, стафилококками и другими микроорганизмами, которые в том числе выполняют защитные функции. При этом ноготь, который представлен без лакового покрытия, при одинаковой силе и направлении механического воздействия во время пробоподготовки имел противоположное заламывание. То есть он ломался поперек. Специфика среза говорит о том, что степень сцепления между пластинками довольно высокая и разволокнения во время резки нет.
Однако в структуре ногтя с нанесённым покрытием выявлены вкрапления лака, что говорит о способности последнего проникать вглубь ногтевой пластины. Ноготь, покрытый лаком, не имеет естественной флоры на своей поверхности, а это может снижать его защитную функцию и быть причиной заболеваний (например, грибковых).
При оценке ногтевой пластины со снятым лаком в её верхней половине определяются разволокнение и наличие щелей, что косвенно говорит о снижении степени адгезии между роговыми слоями, вероятно, вследствие проникновения элементов покрытия.
Тем не менее, остается открытым вопрос, что вызвало разволокнение ногтевой пластины при нанесении лака: механическое воздействие или химическая структура лака, который мог за счет законов физики попадать в её верхние отделы. Либо имеется истинное нарушение связей между роговыми чешуйками, которые в норме плотно упакованы и сцеплены между собой.
Одинаковый характер свечения в поляризационном свете всех трёх образцов говорит о том, что элементы, оставшиеся в цитоплазме погибших клеток вследствие естественного апоптоза и имеющие кристаллическую структуру, остались без изменения.
Заключение
За привычной процедурой маникюра скрывается сложный химический процесс. Гель‑лак — это не просто декоративная жидкость, а высокотехнологичный композитный материал со сложным составом. В его основе лежат мономеры и олигомеры низкой молекулярной массы, а также акрилаты — ключевые компоненты, запускающие процесс полимеризации.
Ногтевая пластина состоит из полимеров на основе кератина и полисахаридов (например, хитозана). Ее структурные группы схожи с акрилатами и олигомерами геля‑лака. В процессе полимеризации между молекулами ногтя и компонентами покрытия образуется общая химическая связь. Это не просто механическое сцепление, а настоящее взаимодействие на молекулярном уровне.
Можно ли делать маникюр гель-лаком несовершеннолетним?
«У детей и подростков 14-ти лет ногтевая пластина тонкая и ранимая к воздействию различных факторов: механических и физических. Поэтому разработаны специальные детские лаки на водной основе и яркие слайдеры — наклейки, которые можно наносить на базовые покрытия для защиты нежной ногтевой пластины», — Полина Габова, врач-дерматовенеролог, выпускница ПГМУ имени академика Е. А. Вагнера.
Обрабатывать кутикулу детям и лицам до 18 лет тоже не рекомендуется, то есть делать обрезной маникюр. Есть риск занести инфекцию или повредить матрикс ногтя, что приведет к деформации ногтевой пластины. Возрастных ограничений в маникюре гель-лаком не существует. Но лучше не подвергать сильному механическому воздействию ногти до 15 лет, так как маникюр с использованием гель-лака подразумевает непосредственную работу с ногтевой пластиной. Более того, в период полового созревания гормональный фон нестабилен, а иммунитет организма к различного рода аллергенам только формируется. Полимеризация гель-лака в лампе, жидкость для обезжиривания, гель-лаковое цветное покрытие, топ и база потенциально являются аллергеном. Поэтому начинать делать маникюр с покрытием не раньше 17–19 лет.
Тем не менее, ухоженные руки, красивый маникюр всегда были, есть и будут привлекать внимание девочек-подростков. Важно проводить с ними просветительскую работу, направленную на повышение осведомленности подростков о негативных последствиях обращения к услугам, не соответствующим возрасту.
Литература:
- Синельников Р. Д., Синельников Я. Р. Атлас анатомии человека: Учеб пособие.- В 4 томах. Москва. «Медицина». 1996 г. 4-й том. Стр. 307.
- Тлиш М. М., Катханова О. А., Кузнецова Т. Г. и др. Ониходистрофии: Методическое пособие. Краснодар. 2013.
- L Kanerva, A Lauerma, T Estlander, K Alanko, M L Henriks-Eckerman, R Jolanki Профессиональный аллергический контактный дерматит, вызванный фотофиксацией накладных ногтей, и обзор (мет)акрилатов в составе косметических средств для ногтей. URL: https://pubmed.ncbi.nlm.nih.gov/?term=8796752 (дата обращения: 09.11.2025)
- Iemke M Steunebrink, Anton de Groot 2, Thomas Rustemeyer Контактная аллергия на косметику для ногтей, содержащую акрилаты: ретроспективное исследование за 8 лет. URL: https://pubmed.ncbi.nlm.nih.gov/38093676/(дата обращения: 09.11.2025)
- E Roche, J de la Cuadra, V Alegre. Повышенная чувствительность к акрилатам, вызванная искусственными акриловыми ногтями: обзор 15 случаев URL: https://pubmed.ncbi.nlm.nih.gov/19091218/(дата обращения: 09.11.2025)
- A Lazarov Повышенная чувствительность к акрилатам — распространённая побочная реакция на искусственные ногти. URL: https://pubmed.ncbi.nlm.nih.gov/17243950/ (дата обращения: 09.11.2025)
- Leonor Ramos, Rita Cabral, Margarida Gonçalo Аллергический контактный дерматит, вызванный акрилатами и метакрилатами: исследование, длившееся 7 лет. URL: https://pubmed.ncbi.nlm.nih.gov/24866267/ (дата обращения: 09.11.2025)
- Marcela Mattos Simoes Mendonca 1, Charlotte LaSenna 2, Antonella Tosti Тяжелая ониходистрофия, вызванная аллергическим контактным дерматитом из-за акриловых ногтей. URL: https://pubmed.ncbi.nlm.nih.gov/27170940/ (дата обращения: 09.11.2025)
- Chris G Adigun, Hannah Shoaf Псориазиформная ониходистрофия, вызванная фотофиксацией акриловых ногтей. URL: https://pubmed.ncbi.nlm.nih.gov/33488913/ (дата обращения: 09.11.2025)
- Ashley Spencer 1, Paul Gazzani 1, Donna A Thompson Контактная аллергия на акрилаты и метакрилаты и аллергическая контактная болезнь: обзор за 13 лет. URL: https://pubmed.ncbi.nlm.nih.gov/27402324/ (дата обращения: 09.11.2025)
- Wolfgang Uter 1, Johannes Geier Контактная аллергия на акрилаты и метакрилаты у потребителей и мастеров ногтевого сервиса — данные Информационной сети отделений дерматологии, 2004–2013 гг. URL: https://pubmed.ncbi.nlm.nih.gov/25589046/ (дата обращения: 09.11.2025)
- Kayria Muttardi, Ian R. White, Piu Banerjee Бремя аллергического контактного дерматита, вызванного акрилатами // CONTACT DERMATITIS. 2016. № 3. URL: https://onlinelibrary.wiley.com/doi/10.1111/cod.12578 (дата обращения: 09.11.2025)
- Noureddine Litaiem, Massara Baklouti, Faten Zeglaoui Побочные эффекты гель-лака для ногтей: систематический обзор. URL: https://pubmed.ncbi.nlm.nih.gov/35907576/ (дата обращения: 09.11.2025)
- Christel Scheers, Josette Andre, Bertrand Richert Косметология ногтей. URL: https://pubmed.ncbi.nlm.nih.gov/38367770/ (дата обращения: 09.11.2025)
- Samantha Gardeen 1, Sara Hylwa Обзор акриловых соединений: суперклей, клеи для ногтей и клеи для диабетических помп повышают риск сенсибилизации у женщин и детей. URL: https://pubmed.ncbi.nlm.nih.gov/33015283/ (дата обращения: 09.11.2025)

