Аневризма брюшной аорты (АБА) — патологическое локальное расширение брюшного отдела аорты с увеличением диаметра сосуда более чем в два раза или, основываясь на ультразвуковом измерении наружного диаметра брюшной аорты — с диаметром сосуда 30 мм и более [1]. Заболевание является одним из наиболее социально значимых заболеваний сердечно-сосудистой системы [2]. По данным А. В. Зубко, большинство случаев аневризм брюшной аорты протекают бессимптомно — чаще всего выявление происходит случайно при рутинных медицинских осмотрах или диагностических исследованиях органов брюшной полости (обзорной рентгенографии и ультразвуковом исследовании органов живота). Так, при плановом УЗИ органов брюшной полости случайным образом выявляется около половины случаев аневризмы брюшной аорты [3].
Это заболевание — одна из наиболее тяжелых и прогностически неблагоприятных патологий сердечно-сосудистой системы. По данным В. В. Петровского, у 40 % больных разрыв аневризмы происходит в течение первого года после установления диагноза [4]. Разрыв сопровождается крайне высокой летальностью как на догоспитальном этапе, так и в первые 72 часа после выполненного оперативного лечения [4,5]. Это обусловливает необходимость раннего выявления заболевания, адекватного и регулярного наблюдения за пациентами с аневризматическим расширением аорты и своевременного выполнения хирургического вмешательства. Своевременное выявление АБА позволяет проводить профилактические мероприятия, направленные на замедление прогрессирования заболевания и выполнение хирургического лечения в плановом порядке, что существенно улучшает исходы лечения [6]. Анализ заболеваемости и хирургической активности при АБА является важным направлением оценки эффективности оказания сосудистой помощи населению РФ.
Целью настоящего исследования является анализ заболеваемости аневризмой брюшной аорты, хирургической активности при АБА, современных тенденций скрининга и перспектив снижения осложнений заболевания в Российской Федерации за 2024 год.
Эпидемиология. Внастоящее время частота аневризм абдоминальной аорты в РФ в зависимости от региона составляет 10–40 случаев на 100000 населения [5].
Аневризма брюшной аорты относится к заболеваниям, распространенность которых существенно увеличивается с возрастом. По данным А. В. Покровского, распространенность заболевания возрастает от единичных случаев в молодом возрасте до значительного увеличения частоты среди лиц старших возрастных групп — около 80 % больных с аневризмой брюшной аорты — лица старше 60 лет. А. В. Покровский отмечал отчетливый рост числа пациентов с АБА, связывая этот факт как с увеличением продолжительности жизни населения и совершенствованием методов неинвазивной диагностики, так и с распространенностью атеросклероза [7]. Однако, по современным данным, за последние 20 лет распространенность АБА снизилась, что частично объясняется уменьшением в популяции числа курящих людей [5]. Тем не менее, высокая распространенность факторов риска атеросклероза в Российской Федерации требует углубленного изучения эпидемиологии АБА и разработки профилактических программ, направленных на снижение смертности населения [6].
В структуре факторов риска развития АБА ведущую роль играет курение, которое увеличивает вероятность формирования заболевания в несколько раз. Значимым фактором риска также является артериальная гипертензия, при которой повышение уровня артериального давления сопровождается увеличением вероятности развития аневризмы [5,6]. Наличие семейного анамнеза аневризмы брюшной аорты увеличивает вероятность развития заболевания и характеризуется более быстрым прогрессированием патологического процесса [6].
Заболеваемость АБА имеет выраженные половые различия. У мужчин заболевание встречается значительно чаще, однако у женщин наблюдается более агрессивное течение заболевания и более высокий риск разрыва аневризмы [5, 6, 7].
Аневризмы выявляются в 0,16–1 % всех вскрытий и являются десятой по значимости причиной смерти человека. Частота разрывов аневризм брюшной аорты составляет 5,6–7,5 случаев на 100000 населения [5].
Точные популяционные данные о распространенности АБА в Российской Федерации ограничены, что связано с отсутствием масштабных эпидемиологических исследований и системного скрининга заболевания [6]
Хирургическая активность при АБА. Хирургическое лечение является основным методом предотвращения разрыва аневризмы брюшной аорты и снижения смертности пациентов [3, 4, 5, 7]. В современной клинической практике при лечении аневризм брюшной аорты применяются как открытые реконструктивные операции, так и малоинвазивные эндоваскулярные вмешательства. Выбор тактики определяется анатомическими особенностями аневризмы, сопутствующей патологией и общим состоянием пациента [5].
Согласно отчету Ю. В. Белова о состоянии сосудистой хирургии в Российской Федерации в 2024 году, в настоящее время наблюдается тенденция увеличения числа оперативных вмешательств при аневризме брюшной аорты, что связано с совершенствованием методов диагностики и развитием высокотехнологичной медицинской помощи [8].
Рис. 1. Структура хирургических вмешательств на аорте в 2024 году [8, с. 30]
Отмечается рост доли эндоваскулярных вмешательств, характеризующихся меньшей травматичностью и снижением периоперационных осложнений у пациентов с высоким хирургическим риском. Одновременно сохраняется значительное количество экстренных операций при разрыве аневризмы, сопровождающихся высокой летальностью [8].
Плановые хирургические вмешательства характеризуются значительно более благоприятными результатами лечения по сравнению с экстренными операциями, выполняемыми при осложненном течении заболевания [3,5,8].
Структура вмешательств на брюшной аорте и послеоперационной летальности представлена в таблице 1.
Таблица 1
Структура хирургической активности и послеоперационнной летальности при аневризмах брюшной аорты (на основании данных Ю. В. Белова [8])
|
Общее количество операций на брюшной аорте |
Всего |
Летальность |
Летальность, % |
|
Плановые открытые вмешательства на брюшной аорте |
2566 |
54 |
2,10 % |
|
Открытая хирургия брюшной аорты при острых состояниях |
610 |
263 |
43,11 % |
|
Плановые эндоваскулярные и гибридные вмешательства на брюшной аорте |
687 |
3 |
0,44 % |
|
Эндоваскулярные и гибридные операции при острых состояниях брюшной аорты |
46 |
6 |
13,04 % |
|
Всего: |
3909 |
326 |
8,34 % |
Соотношение традиционных и малоинвазивных вмешательств в плановом и экстренном порядке в РФ в 2024 году отображено на рисунке 2.
Рис. 2. Структура вмешательств на брюшной аорте в РФ в 2024 году (на основании отчета Ю. В. Белова [8])
Картину послеоперационной летальности при хирургии аорты в 2024 году демонстрирует рисунок 3.
Рис. 3. Структура послеоперационной летальности при вмешательствах на брюшной аорте в РФ в 2024 году (на основании отчета Ю. В. Белова [8])
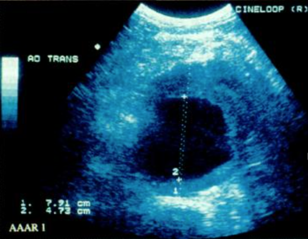
Скрининг и раннее выявление. Скрининг АБА является ключевым направлением профилактики осложнений, поскольку позволяет выявлять заболевание на доклинической стадии. Ключевым методом скрининга является ультразвуковое исследование брюшного отдела аорты, обладающее высокой чувствительностью и специфичностью, достигающими 94–100 % и 98–100 % соответственно [3, 6]. Типичная ультразвуковая картина при аневризме брюшной аорты представлена на рисунке 4.
Рис. 4. Аневризма инфраренального отдела аорты. Поперечное ультразвуковое сканирование в В-режиме [7, с. 27]
Программы скрининга АБА широко внедрены в общемировой практике и уже не раз доказали свою эффективность и целесообразность. Так, по данным метаанализа 2019 года (175 085 пациентов в возрасте 64–83 года со средним периодом наблюдения 10,6 лет), скрининг АБА приводит к значимому снижению риска смерти от всех причин на 3 % и смерти, связанной с АБА, на 35 % [9]. Такие скрининговые программы ориентированы преимущественно на группы повышенного риска, включающие мужчин старших возрастных категорий, пациентов с сердечно-сосудистыми заболеваниями, курильщиков и лиц с семейным анамнезом аневризмы брюшной аорты. Ранняя диагностика заболевания позволяет проводить медикаментозную коррекцию факторов риска и выполнять плановые хирургические вмешательства [6].
В настоящее время в Российской Федерации скрининг АБА не носит системного характера [3, 5, 6]. Ранее ультразвуковое исследование брюшной полости входило в программу диспансеризации населения, однако в дальнейшем данный метод был исключен. Это привело к снижению выявляемости бессимптомных форм аневризмы брюшной аорты [6]. Тем не менее, по-прежнему львиная доля бессимптомных форм выявляется на УЗИ брюшной полости, в том числе проводимых пациентам с артериальной гипертензией согласно действующим клиническим рекомендациям [10]. Перспективным направлением является внедрение фокусированного ультразвукового исследования терминальных отделов аорты и ее ветвей в амбулаторной практике и расширение показаний к обследованию пациентов групп риска. Расширение программ ранней диагностики является необходимым условием повышения эффективности профилактики осложнений АБА (в частности, разрыва аневризмы) и снижения смертности населения.
Перспективы. Снижение частоты осложнений АБА возможно при комплексном подходе, включающем раннее выявление заболевания, коррекцию факторов риска и совершенствование хирургических методов лечения [3, 5].
Медикаментозная терапия, направленная на контроль артериального давления и коррекцию липидного обмена, способствует замедлению прогрессирования заболевания и снижению риска разрыва аневризмы [5, 6].
Развитие эндоваскулярных технологий и совершенствование организационных подходов к оказанию сосудистой помощи позволяют повысить доступность специализированного лечения и снизить показатели летальности [2, 8].
Важным направлением является проведение популяционных исследований, позволяющих определить истинную распространенность заболевания и разработать оптимальные скрининговые программы для населения Российской Федерации [6].
Заключение. Аневризма брюшной аорты остается актуальной медицинской и социальной проблемой вследствие высокого риска развития жизнеугрожающих осложнений. Значительное влияние на развитие АБА оказывают ключевые факторы риска сердечно-сосудистых заболеваний — возраст, мужской пол, табакокурение, малоподвижный образ жизни и нездоровые пищевые привычки. Хирургическое лечение является основным методом профилактики разрыва аневризмы, при этом наименьшую послеоперационную летальность демонстрируют плановые вмешательства. Международный опыт подтверждает значимость скрининговых программ, позволяющих выявлять заболевание на ранних стадиях и снизить смертность пациентов.
Перспективы снижения заболеваемости и осложнений АБА в Российской Федерации ассоциируются с развитием программ ранней диагностики, совершенствованием хирургических технологий с акцентом на плановые, преимущественно малоинвазивные эндоваскулярные вмешательства и проведением масштабных эпидемиологических исследований.
Литература:
- Покровский А. В., Абрамова Н. Н., Амбатьело С. Г., Аракелян В. С., Беличенко О. И., Богатов Ю. П. и др. Клиническая Ангиология: Руководство. Т. 1. «Медицина». (Под ред. Покровского А. В.).; 2004. — С. 137–139.
- Бокерия Л. А., Гудкова Р. Г. Болезни системы кровообращения и сердечно-сосудистая хирургия в Российской Федерации. Состояние и проблемы. Аналитический вестник. Об актуальных проблемах борьбы с сердечно-сосудистыми заболеваниями 2015, 44 (597): 9–18. — URL: http://council.gov.ru/media/files/vDAae8RlETGBbkLMUlOAkE2keXyvvYi5.pdf (дата обращения: 11.01.2026).
- Зубко Александр Владимирович Смертность от аневризмы брюшной аорты // Инновации в науке. 2017. № 11 (72). URL: https://cyberleninka.ru/article/n/smertnost-ot-anevrizmy-bryushnoy-aorty (дата обращения: 11.01.2026).
- Петровский В. В., Вахидов В. В. и др. Хирургия осложненных аневризм брюшной аорты. — Ташкент: Медицина УзССР, 1989. С. 11–27.
- Клинические рекомендации. Аневризмы брюшной аорты. 2025. — Текст: электронный // Министерство здравоохранения Российской Федерации: официальный сайт. — URL: https://cr.minzdrav.gov.ru/view-cr/53_2 (дата обращения: 11.01.2026).
- Балахонова Т. В., Ершова А. И., Генкель В. В., Гарбузова Е. В., Дроздова Л. Ю., Светликов А. В., Акчурин Р. С., Шальнова С. А., Бойцов С. А., Драпкина О. М. Скрининг на наличие аневризмы брюшного отдела аорты в мире и России. Российский кардиологический журнал. 2024;29(8):6013. — URL: https://russjcardiol.elpub.ru/jour/article/view/6013?locale=ru_RU (дата обращения: 11.01.2026).
- Покровский А. В., Абрамова Н. Н., Амбатьело С. Г., Аракелян В. С., Беличенко О. И., Богатов Ю. П. и др. Клиническая Ангиология: Руководство. Т. 2. «Медицина». (Под ред. Покровского А. В.).; 2004. — С. 23–41.
- Белов Ю. В., Карпенко А. А., Лысиков Д. А., Вачёв А. Н. Состояние сосудистой хирургии в Российской Федерации в 2024 г. // Ангиология и сосудистая хирургия. Журнал имени академика А. В. Покровского. — 2025. — Т. 31, спец. выпуск. — URL: https://angiolsurgery.org/society/situation/2024.pdf (дата обращения: 11.01.2026).
- Ying AJ, Affan ET. Abdominal Aortic Aneurysm Screening: A Systematic Review and Meta-analysis of Efficacy and Cost. Ann Vasc Surg. 2019;54:298–303.e3. — URL: https://www.annalsofvascularsurgery.com/article/S0890–5096(18)30544–2/abstract (дата обращения: 11.01.2026).
- Клинические рекомендации. Артериальная гипертензия у взрослых. 2024. — Текст: электронный // Министерство здравоохранения Российской Федерации: официальный сайт. — URL: https://cr.minzdrav.gov.ru/view-cr/62_3 (дата обращения: 11.01.2026).

