Данная статья посвящена описанию результатов лечения переломов методом конверсионного остеосинтеза, достигнутых в Пыть-Яхской окружной клинической больнице за последние три года. Конверсионный остеосинтез — метод лечения переломов длинных костей, при котором отломки на первом этапе фиксируются аппаратами внешней фиксации, а на втором — за счет погружного остеосинтеза (накостного, интрамедуллярного).
По данным современных исследований, 14–15 % пациентов обращаются в больницы с политравмой, при этом выполнение первичной окончательной фиксации переломов методом погружного остеосинтеза не всегда возможно из-за травматического шока, тяжелого состояния пострадавшего или риска послеоперационных осложнений. Для решения этой задачи используется концепция Damage control, которая заключается в многоэтапном хирургическом лечении приоритетных повреждений. Важное место в реализации данной тактики занимает конверсионный остеосинтез — замена этапных аппаратов внешней фиксации погружными конструкциями. Конверсионный остеосинтез используется не только для лечения политравмы, но также в ситуациях открытых переломов, компартмент-синдрома и экстенсивных закрытых повреждений мягких тканей при переломах.
Цель данной работы — показать результаты конверсионного остеосинтеза в различных клинических ситуациях. Нами был проведен проспективный анализ использования конверсионного остеосинтеза при лечении 25 пациентов с переломами длинных костей конечностей в условиях стационара Пыть-Яхской окружной больницы за последние три года. Для анализа результатов лечения мы разделили пациентов на три группы: в первую вошли 6 пациентов с переломами длинных костей при политравме; во вторую — 14 пациентов с закрытыми изолированными нестабильными оскольчатыми и многооскольчатыми переломами длинных костей, а также значительным посттравматическим отеком мягких тканей; в третью — 5 пациентов с открытыми переломами длинных трубчатых костей.
Для пациентов с политравмой сроки конверсионного остеосинтеза составили 4–10 суток. В основном во время поступления переломы длинных трубчатых костей фиксировались аппаратами внешней фиксации. После стабилизации состояния выполнялся демонтаж данных аппаратов с окончательной фиксацией методом блокированного интрамедуллярного остеосинтеза, что позволяет предотвратить возникновение травматического шока на первом этапе и риск развития тяжелых осложнений в послеоперационном периоде.
Пациентам с закрытыми изолированными нестабильными оскольчатыми переломами длинных костей и значительным посттравматическим отеком конверсионный остеосинтез выполнялся на 7–10-е сутки после травмы. При поступлении перелом также фиксировался аппаратом внешней фиксации; после спадения отека выполнялся погружной остеосинтез блокированными пластинами. В нашей практике это чаще всего были оскольчатый перелом дистального метаэпифиза большеберцовой кости и оскольчатые переломы дистального метаэпифиза плечевой кости со смещением отломков.
Пациентам с открытыми переломами на первом этапе выполнялись первичная хирургическая обработка (далее — ПХО) ран, фиксация перелома аппаратом внешней фиксации. На 9–17-е сутки проводился окончательный остеосинтез. Двум пациентам в ходе лечения понадобилась пересадка кожных покровов ввиду наличия соответствующих дефектов, а также некротизации ран.
Опишем случаи конверсионного остеосинтеза, проведенного в Пыть-Яхской окружной клинической больнице.
1) Мужчина, 35 лет. ДТП, водитель. Поступил в экстренном порядке. Диагноз — закрытый оскольчатый перелом дистального метаэпифиза правой большеберцовой кости, перелом наружной лодыжки правой голени со смещением отломков (рис. 1).
Рис. 1.
Ввиду выраженного отечного синдрома в области перелома была выбрана методика конверсионного остеосинтеза. На первом этапе были выполнены открытая репозиция, остеосинтез наружной лодыжки пластиной, фиксация голеностопного сустава аппаратом внешней фиксации (рис. 2).
Рис. 2.
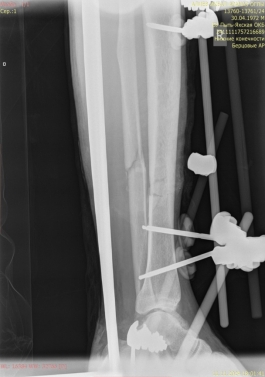
Через 6 дней, после спадения отека, был выполнен открытый накостный остеосинтез большеберцовой кости блокируемыми пластинами (рис. 3).
Рис. 3.
2) Мужчина, 57 лет. В результате падения бревна на область голени получил травму — открытый оскольчатый перелом верхней трети диафиза правой большеберцовой кости со смещением отломков (рис. 4).
Рис. 4.
Ввиду выраженного отечного синдрома в области перелома была выбрана методика конверсионного остеосинтеза, в экстренном порядке выполнены ПХО раны, фиксация перелома аппаратом внешней фиксации, назначена антибиотикотерапия (рис. 5).
Рис. 5.
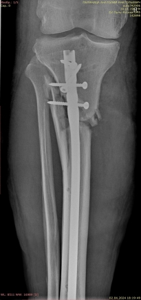
После заживления раневого процесса и спадения отека на 12-е сутки выполнен закрытый блокируемый остеосинтез интрамедуллярным стержнем Expert внеочагово (рис. 6).
Рис. 6.
3) Мужчина, 52 года. Производственная травма в результате падения трубы с высоты двух метров на область голени. Открытый оскольчатый перелом большеберцовой и малоберцовой костей правой голени в средней трети со смещением отломков. Обширная рвано-ушибленная рана правой голени с дефектом мягких тканей (рис. 7).
Рис. 7.
В экстренном порядке выполнены ПХО раны, фиксация перелома аппаратом внешней фиксации, на рану наложены наводящие швы (рис. 8).
Рис. 8.
В послеоперационном периоде сформировался некроз в области послеоперационной раны. Были выполнены некрэктомия, пластика кожного дефекта методом свободной кожной пластики.
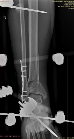
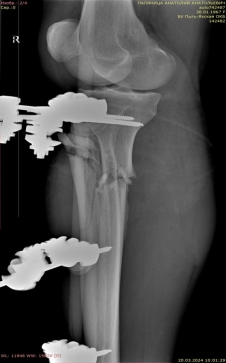
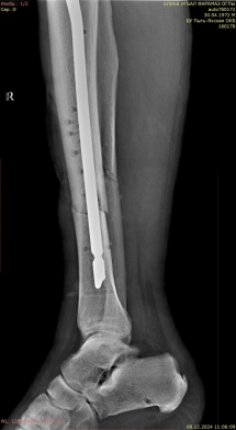
Через 27 дней после травмы был выполнен окончательный блокируемый остеосинтез правой большеберцовой кости интрамедуллярным стержнем с антибактериальным покрытием (рис. 9).
Рис. 9.
Конкретный метод остеосинтеза выбирался в зависимости от типа перелома и масштабов повреждения мягких тканей.
Все пациенты были выписаны из стационара в удовлетворительном состоянии для амбулаторного долечивания.
Заключение. Проведенное нами исследование подтвердило целесообразность конверсионного остеосинтеза при лечении больных с переломами длинных костей. Использование методики перевода фиксации отломков аппаратом наружной фиксации на внутренний остеосинтез (конверсия) способствовало заживлению переломов, стабилизации отломков и улучшению результатов лечения пациентов с переломами длинных костей.
Литература:
1. Травматология и ортопедия: учебник / Н. В. Корнилов [и др.]; под ред. Н. В. Корнилова. — 3-е изд., перераб. и доп. — М.: Гэотар-Медиа, 2011.
2. Букуп, К. Клиническое исследование костей, суставов и мышц / К. Букуп, Й. Букуп. — М.: Медицинская литература, 2018.
3. Епифанов, В. А. Реабилитация в травматологии и ортопедии / В. А. Епифанов, А. В. Епифанов. — М.: ГЭОТАР-Медиа, 2015.
4. Саймон, Р. Р. Неотложная травматология и ортопедия: верхние и нижние конечности : руководство: пер. с англ. / Р. Р. Саймон, С. С. Шерман, С. Д. Кенигснехт. — М. : БИНОМ, 2012. — 680 с.

